Testimonials

Bronwyn Gray

  • Australia
  • S531089

Erykah Jacksson (S531101)

  • Australia
  • Crowns

Lauren Till (S531029)

  • Australia
  • Composite Veneer/ Direct Bonding, Laser Whitening

Mr. Justin Kutz (S531079)

  • USA
  • Fillings, Cleaning

Rory Heron (S531164)

  • Europe
  • Cleaning, Laser Whitening

DASUMATR

  • Australia
  • Dr. Palawat

Miss Fleue Ng (S520766)

  • Malaysia
  • Veneers & Crown
  • Dr. Niraporn

Miss Doris Ng (S520767)

  • Malaysia
  • Veneers & Crown
  • Dr. Niraporn

Mr.Michael Digney (S520975)

  • Australian
  • Laser Whitening
  • Dr. Panchalee / Dr. Niraporn

Mr.Robin Atkins (S520977)

  • Australian
  • Laser Whitening
  • Dr. Panchalee

Mr. Godofredo Calica (S520880)

  • Indonesia
  • Laser Whitening
  • Dr. Kajondej

Kenny Y.

  • Singapore
  • Laser Whitening, Fillings
  • Dr. Butsarin

Joanna Caston

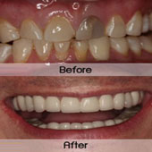
Ray P. S560649)

  • Australia
  • Porcelain Fused to Metal Crown,Prefabricated Post, & Core Build Up
  • Dr.Palawat

Case Gallery

Uneven Teeth and Unaesthetic Crowns

  • Patient: Miss. Fawn B. K550507
  • (Australia)
  • Dr. Udsana
  • Veneers, Zoom

Uneven Teeth and Unaesthetic Crowns

  • Patient: Gary Newman K550519
  • (Australia)
  • Dr. Udsana
  • Veneers, Root Canal, Crowns

Improperly aligned and irregular shaped teeth. A shift left upper central incisor caused by the loss of the right central incisor

  • Patient: Mr. Uli
  • (Germany)
  • Treatment: 7 Porcelain Veneers
  • Duration: 3 visits in 7 days

Irregular shaped teeth with gaps between teeth

  • Patient: Miss Brigitte
  • (UK)
  • Treatment: 6 porcelain veneers
  • Duration: 2 visits in 5 days

Tetracycline stained teeth with dark band at the neck of each tooth

  • Patient: Miss Chua
  • (Hong Kong)
  • Treatment: 16 porcelain veneers
  • Duration: 3 visits in 8 days

Big gap and misaligned teeth in upper jaw

  • Patient: Mr. Brandon
  • (USA)
  • Treatment: 6 porcelain veneers
  • Duration: 3 visits in 7 days

Patient was very unhappy with the three unsightly crowns at the front of her mouth. She also felt her teeth were too short and she showed too much gum when she smiled.

  • A gum lift was carried out to improve the gum levels. Porcelain veneers were used to improve the colour and the shape of the teeth
  • Patient: Tracey
  • (London, UK)
  • Treatments: Laser tooth whitening, Gum Reshaping, 8 Porcelain Veneers
  • Duration: 1 appointment for cosmetic gum reshaping, 2 appointments in 7 days for porcelain veneers

Patient have large gaps between her upper front teeth. Her main concern was that the teeth didn't look too large when closing the space

  • Porcelain veneers and gum reshaping were used, to ensure that an even balanced smile was created. The veneers were matched to her natural tooth colour
  • Patient: Sara
  • (Australia)
  • Treatment: Gum Reshaping, Porcelain Veneers
  • Duration: 1 appointment for gum reshaping, 2 appointments in 7 days for porcelain veneers

Crowded Teeth and Gummy Smile

  • Smile changes like this can make a big ifference in a person's life. Paul found that his increased self confidence helped in all aspects of his life.
  • Patient: Paul
  • (Los Angeles, USA)
  • Treatment: Gum reshaping with veneers and crowns at upper teeth
  • Duration: 1 appointment for gum reshaping, 2 appointments in 7 days for porcelain crowns and veneers

Poor old crown and unhealthy gums

  • Angie had old crown on the top teeth nd her natural teeth were yellow. Now, she has a new clean white smile
  • Patient: Angie
  • (New Zealand)
  • Treatment: Gum Reshaping, Laser tooth whitening, Porcelain Veneers, New All Porcelain Crown (Metal-Free), New tooth color filling at lateral tooth
  • Duration: 1 appointment for gum reshaping, 1 appointment for laser tooth whitening, 2 appointments for new porcelain crown and veneers, 1 appointment for new tooth colored filling

Irregular shape teeth

  • Elaine had chipped upper teeth that were also uneven. She was unhappy with the colour but was keen to keep a very natural look. These photographs further illustrate the process of laminating teeth with a thin veneer of porcelain. The resulting cosmetics, function, and durability are superb.
  • Patient: Elaine
  • (New York, USA)
  • Treatment: 10 porcelain veneers at upper teeth
  • Duration: 2 appointments in 10 days

Case: Dental Crown

  • Patient: David Ireland K542245
  • (Australia)
  • Dr. Udsana

Case: Dental Crown & Bridge

  • Patient: Chris R.

Case: Irregular shaped teeth with a short tooth length

  • Patient: Mrs. Monson
  • (Australia)
  • Treatment: 20 porcelain crowns
  • Duration: 4 visits in 10 days

Case: Severe Attrition teeth with anterior teeth cross bite

  • Patient: Mr. Peter
  • (Australia)
  • Treatment: 16 upper porcelain crowns
  • Duration: 4 visits in 12 days

Case: Improper and Unaesthetic ceramometal old crowns, Undesirable gaps and Gummy Smile

  • Patient: Mr. Frank
  • (UK)
  • Treatment: 4 new porcelain crowns
  • Duration: 3 visits in 6 days

Case: Failed Endodontics on upper left central incisor

  • Patient: Mr. Miss Bett
  • (USA)
  • Treatment: 3 unit all porcelain bridge and 3 porcelain veneers
  • Duration: 3 visits in 7 days

Case: Upper old bridge consisting of gold

  • Patient: Mrs. Chen
  • (Hong Kong)
  • Treatment: 6 unit all porcelain bridge
  • Duration: 3 visits in 6 days

Case: All on 4 immediate function full jaw implants, Poor old natural teeth with serious gum problems

  • Patient: Mr. John
  • (Canada)
  • Treatment: Upper and Lower full jaw replacement with immediate all on 4 implants
  • Duration: 4 appointments in only 6 days

Case: Single tooth dental implant

  • Patient: Gary
  • (San Francisco, USA)
  • Treatment: Single tooth dental implant
  • Duration: 2 appointments for dental implant surgery, 2 appointments for porcelain crown over dental implant

Case: Dental implant permanently anchor dentures (Lack of lower teeth)

  • Patient: Mr. Nicholas
  • (Gold Coast, Aurtralia)
  • Treatment: Dental implant supported overdenture
  • Duration: 2 appointments for dental implant surgery, 4 appointments for lower full denture

Case: Multiple teeth dental implants (Broken teeth after car accident)

  • Patient: Edward
  • (New York, USA)
  • Treatment: 2 implant fixtures with 4 bridges over implants
  • Duration: 6 appointments for dental implant surgery and porcelain crown over dental implants

Case: Multiple teeth dental implants

  • This 48 year old woman as never been happy with a full lower denture. She is very concerned with her appearance and wants her mouth to look as good as the rest of her
  • Patient: Nancy
  • (Seattle, USA)
  • Treatment: 6 dental implants with 10 bridges over implants

Case: Multiple teeth dental implants (Broken teeth after accident)

  • Patient: Mr.Bantoon
  • (Bangkok, Thailand)
  • Treatment: 3 Single tooth dental implants
  • Duration: 4 appointments for dental implant surgery and porcelain crown over dental implant

Case: Single tooth dental implant (Loss of her front tooth after car accident)

  • Patient: Mrs. Nalinee
  • (Los Angeles, USA)
  • Treatment: 1 Single tooth dental implant
  • Duration: 3 appointments for dental implant surgery and porcelain crown over dental implan

Laser Teeth Whitening achieves better results than any other whitening procedure. Recent independent studies confirm that laser whitening has yielded results of 6-13 shades brighter. The long-term effect of the treatment varies from one person to another. Certain habits such as smoking, drinking coffee, tea and wine, or neglecting of regular cleansing could once again quicken the darkening process of the teeth. Laser whitening the stained enamel surface does not cause overheating of the teeth, thus there is no damage to the teeth. There are no negative side effects to laser whitening your teeth. Since the treatment is pain-free, no anesthesia is required. The laser tooth whitening treatment is completed within one visit that will last less than an hour. In our dental clinics, we have treated more than 900 laser whitening cases, so we could guaranty our skill and experience.

Case: Teeth stained through Aging

  • Name: Mr. jeronimo garcia
    Country: Spain
    Dentist: Park(GP)
    Visit: 1 visit

Treatments: Cleaning, Laser whitening(7500)

  • Name: Mr. chua shin huat
    Country: Singapore

Treatment: Teeth whitening

  • Name: Ms. Kirsten Elefteriou
    Country: Australia
    Dentist: Dr. Chompoonut(GP)
    Visits: 1 visit

Case: Teeth stained through Aging

  • Treatment: 1 visit laser teeth whitening

Case: Teeth stained through Aging

  • Treatment: 1 visit laser teeth whitening

Case: Teeth stained through Aging

  • Treatment: 1 visit laser teeth whitening

Case: Tetracycline stained teeth

  • Treatment: 1 visit laser teeth whitening

Case: Teeth stained through Aging

  • Treatment: 1 visit laser teeth whitening

Dental Extreme Makeover
“Upper anterior teeth show numerous large defects. Crowns are the treatment of choice for this case to restore the beauty and function.”

  • Patient: Mr. Peter
  • (Australia)
  • Treatment: 16 porcelain crowns
  • Duration: 5 appointments in 12 days

Dental Extreme Makeover
“This is one of BSDC’s extreme makeovers. He presents with worn , dark teeth. He wants his teeth straightened and whitened. He also wants to improve his chewing ability.”

  • Patient: Mr. Alan
  • (Australia)
  • Treatment: 19 crowns and 4 porcelain veneers
  • Duration: 4 appointments in 11 days

Dental Extreme Makeover

  • Patient: Miss. Siriyagorn
  • (Bangkok, Thailand)
  • Treatment: Laser tooth whitening and Porcelain veneers
  • Duration: 3 appointments in 10 days

Dental Extreme Makeover
“One of our more dramatic smile makeovers! This type of dentistry is the most challenging and rewarding at the same time.”

  • Patient: Mr.McAleenans
  • (Australia)
  • Treatment: Laser tooth whitening, Porcelain veneers, Porcelain bridges
  • Duration: 5 appointments in 14 days

Dental Extreme Makeover
“Another instant orthodontic example. Many people are just not willing to have braces, but would love a beautiful smile.”

  • Patient: Mr.Ronan
  • (UK)
  • Treatment: Laser tooth whitening, porcelain veneers, and porcelain bridges
  • Duration: 4 appointments in 14 days

Dental Extreme Makeover
“Missing teeth can be replaced in a umber of ways using the latest materials and techniques to make the 'new' tooth look natural.”

  • Patient: Mrs.Dianne
  • (Australia)
  • Treatment: Full mouth rehabilitation with porcelain bridge
  • Duration: 4 appointments in 14 days

Dental Extreme Makeover
“The transformations achieved by Silom Dental using veneers , crowns and bridgework is there for you to see with various examples. As you will observe, our cosmetic dentist can produce dramatic results in straightforward as well difficult cases.”

  • Patient: Mr. James
  • (USA)
  • Treatment: Porcelain veneers and crowns at upper front teeth
  • Duration: 4 appointments in 14 days

Dental Extreme Makeover
“Poor old restorations and short and discolored teeth”

  • Patient: Miss Powell
  • (USA)
  • Treatment: 10 porcelain crowns
  • Duration: 3 appointments in 6 days

Dental Extreme Makeover
“Patient with large defects and broken teeth. He desires cosmetic and function improvement in only 1 week.”

  • Patient: Mr. Ray
  • (USA)
  • Treatment: 12 porcelain veneers and 6 porcelain crowns
  • Duration: 5 appointments in 10 days

Dental Extreme Makeover

  • Patient: Gary Newman DN: K550519
  • (Australia)
  • Treatment: Veneers,Root Canal,Crowns

Dental Extreme Makeover

  • Patient: Kevin L. DN: K551281
  • Treatment: Filling,Crow,Root Canal,Cleaning

Int'l Contact Numbers

Ask our Dentist

Get a FREE Quotation & Treatment Plan from us.

To help us protect SPAM, please fill in the box above.and please use the number and the lowercase letters only.